「神経を取った歯は割れやすい?──“治した歯”にこそ必要なケアの話」
「神経を取ったから、もう痛みは出ないし安心」
そう思っていませんか?
確かに神経を取った歯は、虫歯が進行しても痛みを感じにくくなります。
でも実は、「神経がない歯ほど、静かに壊れていく」ことも多いのです。
今回は、そんな**神経を取った歯(失活歯)**の特徴と、
なぜその後のケアが重要なのかを解説します。
■そもそも、なぜ神経を取るの?
- 虫歯が神経に達してしまったとき
- 自発痛や噛んだときの強い痛みがあるとき
- 根の先に膿がたまって炎症が起きているとき
…など、歯の内部にトラブルが生じているときに行うのが「根管治療(神経の処置)」です。
これは“最終手段”のようなもので、
できれば神経は残したいというのが、私たち歯科医療者の本音です。
■神経を取るとどうなる?
歯の神経は、ただ痛みを感じるだけのものではありません。
「歯に栄養や水分を届け、内部から健康を保つ」重要な役割も担っています。
神経を取ると…
- 歯がもろくなり、割れやすくなる
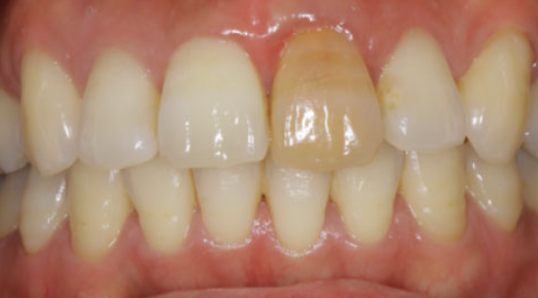
- 歯の色がグレーっぽく変色してくる
- 虫歯や炎症が起きても、痛みに気づきにくい
- 内部の再感染リスクがある(根尖性歯周炎など)
つまり、神経を取った歯は、構造的にも機能的にもデリケートな状態になります。

■枯れ木のような歯──壊れやすく、虫歯にも気づけない
神経を失った歯は、よく「枯れ木のような状態」と表現されます。
水分を失い、しなやかさをなくした歯は、
強い力が加わったときに“しなる”ことができず、割れてしまうことがあります。
さらに、痛みを感じないので、虫歯が進行していても気づけません。
再び虫歯になってしまったときには、抜歯しか選択肢がないことも多くなるのです。
「神経を取ったあとも普通に使えているし、大丈夫だろう」
そう思って放置していたら、ある日突然“抜くしかない状態”に──
実は、そういったケースは決して珍しくありません。

■神経を残すことで“守られる力”がある
神経が残っている歯では、刺激に反応して**「第二象牙質」**と呼ばれる新しい層が作られ、
歯の内部から自然に防御力を高めてくれます。
この働きがあるからこそ、
私たちは「できる限り神経を取らずに済む治療」を目指しているのです。
■どう守ればいいの?
神経を取った歯を長持ちさせるためには:
- 強度の高い被せ物(クラウン)で補強する
- 噛み合わせのチェックを定期的に行う
- 知覚がない分、メンテナンスで状態を把握する
- 硬いもの(氷・骨など)を噛むのは避ける
大事なのは、**「治療が終わってからがスタート」**という意識です。
■まとめ:治療が終わった歯こそ、静かに壊れていくリスクに注意
- 神経を取った歯は、痛みがなくても油断禁物
- 枯れ木のように割れやすく、虫歯にも気づきにくい
- 虫歯が再発すると、抜歯リスクが高くなる
- 定期検診と適切な補強で、寿命を延ばすことができる
また、噛み合わせや歯並びの乱れがあると、
特定の歯に過度な負担がかかりやすくなり、破折やトラブルを招く原因にもなります。
(このあたり、矯正治療の役割も、実は見た目以上に大切だったりします)
「昔治療した歯があるけど、最近診てもらっていない」
そんな方は、一度チェックをおすすめします。