「歯石ってそんなに悪いの?」──取らなくても大丈夫、は本当か
「歯石がついてますね」と言われても、
「別に痛くないし…」とあまり気にされない方も少なくありません。
でも実は、歯石は“ただの汚れ”ではありません。
今日は、歯石の正体と、なぜ定期的に除去が必要なのかについてお話しします。

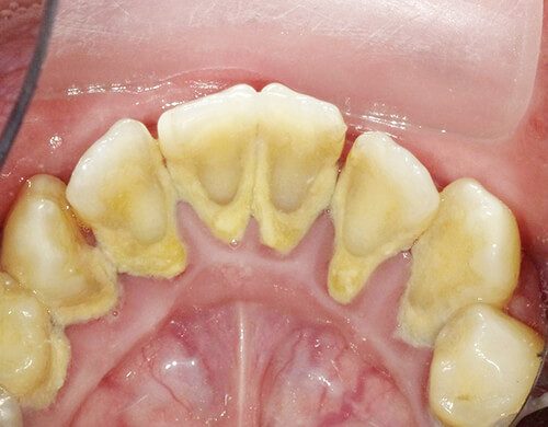
■歯石とは何か?
歯石は、歯の表面についたプラーク(細菌のかたまり)が、
唾液の成分と結びついて石のように硬くなったものです。
一度石灰化してしまうと、歯ブラシでは絶対に取れません。
つまり、
- 歯磨きを頑張る
- フロスを毎日使う
それだけでは、すでにできてしまった歯石は除去できないのです。

■なぜ歯石が問題なのか?
歯石そのものが毒というわけではありません。
問題は、歯石の表面がザラザラしていることです。
ザラザラした表面は、細菌にとって最高の住みか。
そこにさらにプラークが付着し、どんどん増殖していきます。
その結果、
- 歯ぐきが腫れる
- 出血する
- 歯周病が進行する
といったトラブルにつながります。
■「歯石があっても大丈夫な人」もいる?
確かに、歯石があってもすぐに歯が抜けるわけではありません。
炎症がほとんど出ない方もいます。
ですが、歯周病は静かに進行する病気です。
痛みがないまま、
気づいたときには骨が減っている。
これが歯周病の怖いところです。
■歯石取りは“クリーニング”ではなく治療
「歯石取り=お掃除」と思われがちですが、
実際には歯周病の進行を止めるための治療行為です。
特に、歯ぐきの中(歯周ポケット)の歯石は、
見えない場所で炎症を引き起こしています。
これを放置すると、
将来的に歯がグラグラして抜ける原因になります。
■どれくらいの頻度で必要?
一般的には、3〜6か月に1回の定期チェックが目安です。
ただし、
- 歯周病が進行している方
- 歯石がつきやすい体質の方
- 喫煙習慣がある方
は、より短い間隔が必要になることもあります。
■まとめ:歯石は“静かなリスク”
痛みがないから大丈夫。
見た目がそこまで汚くないから問題ない。
そう思っているうちに、
歯ぐきの中では静かに炎症が進んでいることがあります。
歯石は、今すぐ困らないけれど、将来に影響するもの。
だからこそ、
「問題が起きる前」に取り除いておくことが大切です。