「歯並びが悪いと虫歯や歯周病になりやすいって本当?」──矯正って見た目だけじゃない話
「歯並びが気になるけど、見た目の問題だけでしょ?」
そう思っている方、意外と多いかもしれません。
もちろん、見た目の印象が良くなるのは大きなメリットですが、
矯正治療の目的はそれだけではありません。
実は、歯並びや噛み合わせの乱れは、虫歯や歯周病の原因にもなるってご存じでしたか?
今回は、歯並びとお口の健康の関係について、わかりやすく解説していきます。

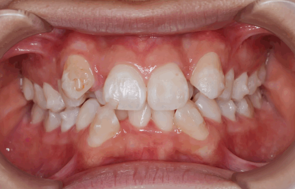
■歯並びが悪いと、なぜ虫歯や歯周病になりやすいのか?
歯並びがガタガタしていたり、重なっている部分があると、
歯ブラシの毛先が届きにくくなります。
つまり、汚れ(プラーク)がたまりやすく、落としにくい。
毎日しっかり磨いているつもりでも、磨き残しが出てしまうのです。
その結果、
- 虫歯ができやすくなる
- 歯ぐきに炎症が起こりやすい
- 歯石がたまりやすくなる
といった慢性的なトラブルの温床になります。

■実際の患者さんにも多い“矯正してトラブルが減った”ケース
私たちが日々診療している中でも、
矯正治療を終えた方が「歯ぐきが健康になった」
「クリーニングの頻度が減った」という声をよく聞きます。
歯が整うと、汚れがたまりにくくなり、
お手入れのしやすさが劇的に向上するんですね。
■噛み合わせのズレも要注意
また、歯並びの乱れは噛み合わせのズレにもつながり、
- 一部の歯にだけ負担が集中する
- 歯ぎしりや食いしばりが悪化する
- 顎関節に負担がかかる
といった問題も引き起こします。
たとえば、「昔治療した歯がよく割れる」「何度もかぶせ物が外れる」
そんな場合、噛み合わせに原因があることもあるのです。
■“矯正=見た目”ではなく、“矯正=予防”という考え方も
矯正治療は、歯の見た目を整えるだけでなく、
将来的に虫歯や歯周病を予防するという大きな目的があります。
もちろん年齢や口腔状態によって適応はありますが、
「今ある歯を将来まで大切に残すための選択肢」として、
矯正を前向きに捉える方が増えています。
■まとめ:「歯並びの乱れは、見えないリスクを含んでいる」
- ガタガタした歯は、汚れがたまりやすく虫歯や歯周病の原因に
- 噛み合わせのズレは、歯の破折や顎のトラブルの原因にも
- 矯正治療は“見た目”のためだけではなく、“予防”の一環でもある
「ずっと気になっていたけど、今さら遅いかな…」
そう感じている方も、ぜひ一度ご相談ください。
矯正治療には目立ちにくい装置や、部分的な矯正など、
さまざまな方法があります。