町屋の歯科・矯正歯科
  • ホーム
  • コラム
  • 「歯ぐきが下がってきた?」──加齢だけではない“歯肉退縮”の原因

「歯ぐきが下がってきた?」──加齢だけではない“歯肉退縮”の原因

「最近、歯が長くなった気がする」
「前より歯ぐきが下がってきた」

このような相談は、実はとても多くあります。
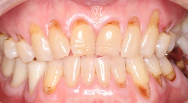
この状態は「歯肉退縮(しにくたいしゅく)」と呼ばれ、歯ぐきが本来の位置よりも下がってしまう現象です。

多くの方が「年齢のせいかな」と思われますが、
実は加齢だけが原因ではありません。


■歯ぐきが下がると何が起きる?

歯ぐきが下がると、歯の根の部分(根面)が露出します。

歯の根は、エナメル質ではなく象牙質でできています。
象牙質は刺激に弱いため、

  • 冷たいものがしみる
  • 歯ブラシが当たると痛い
  • 甘いものでもしみる

といった知覚過敏が起こりやすくなります。

さらに、根面は虫歯にもなりやすいため、
根面う蝕(こんめんうしょく)という虫歯のリスクも上がります。


■歯ぐきが下がる主な原因

歯肉退縮の原因は1つではありません。
いくつかの要因が重なって起こることが多いです。

代表的な原因としては、

  • 強すぎる歯磨き(ゴシゴシ磨き)
  • 歯周病による骨の減少
  • 噛み合わせの強い力
  • 歯ぎしり・食いしばり
  • 歯並びの問題

などがあります。

つまり、歯ぐきが下がる=年齢の問題ではなく、生活習慣やお口の環境が関係していることが多いのです。


■一度下がった歯ぐきは戻る?

残念ながら、
下がってしまった歯ぐきは自然に元に戻ることはほとんどありません。

そのため大切なのは、

  • これ以上進行させないこと
  • 原因を取り除くこと

になります。

歯磨きの方法を見直したり、
歯ぎしりがある場合はマウスピースを使用したりすることで、
進行を抑えることができます。


■定期チェックが大切な理由

歯ぐきの変化は、
自分では気づきにくいことが多いです。

定期検診では、

  • 歯ぐきの状態
  • 歯周ポケットの深さ
  • 噛み合わせの負担

などをチェックし、問題があれば早めに対処できます。

歯ぐきが大きく下がってしまう前に、
小さな変化の段階で気づくことがとても重要です。


■まとめ

歯ぐきが下がる原因は、年齢だけではありません。

歯磨きのクセ、噛み合わせ、歯周病など、
さまざまな要因が関係しています。

そして一度下がった歯ぐきは、
自然に元に戻ることはほとんどありません。

だからこそ、
「下がってから」ではなく「下がる前」に気づくこと。

定期的なチェックが、歯ぐきを守る一番の方法です。

いつでも通える歯医者

平日と土日祝、朝から夜まで診療している町屋の歯医者。
お仕事帰りや休日にぜひお立ち寄りください。

診療時間
10:00~14:00
15:30~19:00
  • 平日・土:【●】10:00~14:00/15:30~19:00
  • 日・祝日:【▲】10:00~13:00/14:00~17:00
地図

町屋駅から徒歩2分

町屋の歯科・矯正歯科
〒116-0001
東京都荒川区町屋2丁目2−18
ジオエント町屋 1F
TEL: 03-6240-8002

  • -東京メトロ千代田線「町屋駅」徒歩2分
  • -京成本線「町屋駅」徒歩2分
  • -都電荒川線「町屋駅前」徒歩2分