「歯が浮く」「違和感がある」──それ、顔の骨が溶けているサインかもしれません
「なんとなく噛みにくい」
「歯が浮いているような感覚がある」
「歯の根元が重たい感じがする」
こうした症状、虫歯や歯周病とは異なる“歯の根のトラブル”が隠れているかもしれません。
特に、過去に神経を取った歯や、かぶせ物をしている歯に多く見られる症状です。

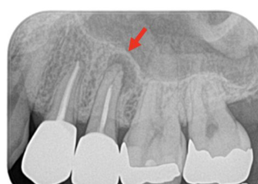
■原因は“歯の根っこ”──そして「骨」が溶けていることも
歯の違和感の原因のひとつに、歯の根の先にできた膿の袋や炎症があります。
これを放置すると、顔の骨(歯槽骨)がじわじわと溶けてしまうことも。
「根尖性歯周炎(こんせんせいししゅうえん)」などと呼ばれ、
自覚症状がないまま進行してしまうケースも少なくありません。
ここでよく聞かれるのが、
「え? でも今まで定期的にレントゲンも撮ってたのに、なんで気づかなかったの?」
という疑問です。
実は、通常のレントゲンでは角度的にうまく映らなかったり、病変が小さすぎて確認できないこともあるのです。
そういった場合、違和感や痛みといった症状をきっかけにCTを撮影したことで、初めて問題が発見されるというケースは珍しくありません。
CTは立体的に撮影できるため、通常のレントゲンでは見えにくい部分も明確に把握できます。
だからこそ、「症状が出て初めてわかる」こともあるのです。

■神経がないのに「痛む」ってどういうこと?
神経を取った歯は本来、冷たい・熱いなどの刺激を感じません。
それなのに痛みや浮いたような違和感が出るのは、歯の根の先にできた膿が、周囲の骨や神経を圧迫しているためです。
つまり、神経がない=痛くならない、とは限らないということです。
しかもやっかいなのは、いまは無症状でも、いつ激しく痛み出してもおかしくない状態であること。
特に、免疫力が落ちているとき(体調不良や疲労時)に突然症状が出ることも多くあります。
■治療の選択肢は主に3つ
歯の根に異常が見つかった場合の治療法は、大きく分けて以下の3つです。
- 根管治療(再治療)
歯の中を清掃・消毒して薬を詰め直し、再び使える状態にする治療です。
状態次第では、歯を残せる可能性があります。 - 抜歯
再治療でも改善が見込めない場合や、歯を残すことで周囲の骨や他の歯に悪影響を与えるリスクがある場合には、抜歯を選択します。
これは「仕方なく抜く」のではなく、口全体の健康を守るための前向きな選択肢です。 - 経過観察
症状が軽度で、すぐに処置が必要ないと判断される場合には、定期的に状態を確認しながら経過を追っていくという方法が取られます。
■でも、骨が溶けているなら早めの治療を
経過観察は場合によっては有効な手段ですが、すでに骨が溶け始めている場合には、
多くの場合、早めに治療へ踏み切る方が良い結果に繋がります。
自覚症状がなくても、内部では確実に進行している可能性がある。
だからこそ、「まだ痛くないから大丈夫」と安心せず、違和感を感じたら早めに受診することが大切です。
■まとめ:「なんとなく変」は立派なサイン
歯の根の病気は、目に見えず静かに進行することが多いです。
ですが、次のような症状がある場合は注意が必要です。
- 神経を取った歯が再び気になる
- 噛んだときに響くような違和感がある
- 歯が浮いたような感覚がある
- 定期検診で異常なしだったが、どうも気になる
こういったサインを見逃さず、必要に応じて精密検査(CTなど)を受けることが、歯を守るカギになります。
早期発見・早期対応こそが、歯の寿命を大きく左右します。